むし歯や歯周病の治療が済んでも、それで終わりではありません。自動車の機能をきちんと維持しながら安全・快適に使い続けるために定期的な車検があるように、みなさまのお口の健康を守り、機能を一生維持し続けるためには、定期的な検査とケアが必要なのです。
むし歯や歯周病になるのは嫌ですよね。私たちも、皆さんの歯を削ったり抜いたりするのは、決して楽しいことではありません。私たちは、むし歯・歯周 病の予防に力をいれ、一人一人に合わせた、予防プログラムを作成しています。おうちでのお手入れと、医院でのケアを計画的に行うことで、最大の効果が発揮 できます。力をあわせて、“自分の歯で生きる幸せ“を継続しましょう!
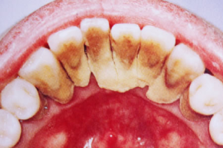
着色、歯石を除去し、歯の表面をきれいにすることによって、むし歯や歯周病のリスクを軽減します。




予防グッズはたくさんの種類をご用意しております。 口腔内の状態をデータ化して管理していますので、患者様ごとに適した歯ブラシや歯間ブラシなどを処方することが可能です。
このオゾン水は多くの医療機関で利用されており洗浄、除菌効果があるため、歯科医院では歯周病の予防など口腔内環境の改善につながります。またオゾン水は特殊な技術により原料は水と酸素だけであり、PH値は中性で残留性・肌への蓄積性もなく、除菌後は水と酸素に自然に分解するので人や環境に優しく安全なのが特徴です。
ふくざわ歯科ではセカンドオピニオンに力を入れています。
現在の治療方針に疑問や不安をお持ちの方、お気軽にご相談ください。歯科医師によって考え方は様々ですので、全く同じ症状だったとしても歯科医院によって治療方針が変わることはごく普通にあります。そこで、複数の歯科医師に意見を求めることにより、 より良い治療方法や患者様の価値観に合った治療方法を見つけることができるかもしれません。また、たとえ複数の歯科医師から同じ意見が出たとしても、患者様としては納得を得ることができますので、安心して治療を始められるというメリットもあります。患者様にとってより良い治療方法を見つけるためにセカンドオピニオンは有効な手段ですので、不安や疑問をお持ちの方はお気軽にご相談ください。