







このオゾン水は多くの医療機関で利用されており洗浄、除菌効果があるため、歯科医院では歯周病の予防など口腔内環境の改善につながります。またオゾン水は特殊な技術により原料は水と酸素だけであり、PH値は中性で残留性・肌への蓄積性もなく、除菌後は水と酸素に自然に分解するので人や環境に優しく安全なのが特徴です。
ふくざわ歯科ではセカンドオピニオンに力を入れています。
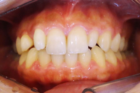
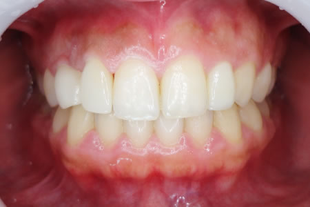
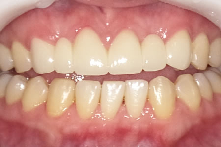
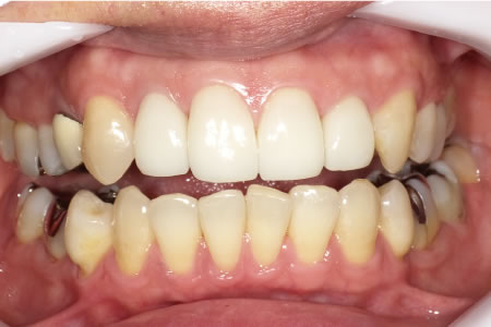
現在の治療方針に疑問や不安をお持ちの方、お気軽にご相談ください。歯科医師によって考え方は様々ですので、全く同じ症状だったとしても歯科医院によって治療方針が変わることはごく普通にあります。そこで、複数の歯科医師に意見を求めることにより、 より良い治療方法や患者様の価値観に合った治療方法を見つけることができるかもしれません。また、たとえ複数の歯科医師から同じ意見が出たとしても、患者様としては納得を得ることができますので、安心して治療を始められるというメリットもあります。患者様にとってより良い治療方法を見つけるためにセカンドオピニオンは有効な手段ですので、不安や疑問をお持ちの方はお気軽にご相談ください。